A boy smiling while standing over a railing in a hospital

Disorders Affecting the Kidneys & Reproductive Organs

About Disorders Affecting Kidneys & Reproductive Organs

Rare congenital anomalies of the kidney and urinary tract represent a broad range of conditions that can arise from genetic, environmental and epigenetic factors leading to abnormal renal and urinary system development. Anomalies range from agenesis (absence), dysplasia (malformation) or hypoplasia (small size) of the kidney, horseshoe kidney, duplication of the ureter and ureteropelvic junction obstruction, among others. Some of these diseases can be associated with congenital anomalies of other organ systems and an increased risk for cancer. They may lead to kidney failure in children and adults.

Ciliopathies represent a diverse group of genetic disorders that arise from defects in protein gene coding. These defects result in abnormal structure and/or function of cilia, complex microscopic organelles involved in motility and signaling. Disorders of the cilia, broadly divided into motile and non-motile (primary) types, can be isolated conditions or part of multiorgan ciliopathies.

  • Immotile ciliopathies are caused by defects in proteins affecting the structure or function of primary (non-motile) cilia, resulting in primary ciliary dysfunction. They can be associated with chronic progressive diseases of the kidneys, liver and retina, and they often include renal cysts and liver disease with or without skeletal involvement. Cognitive impairment, abnormalities of the central nervous system (such as agenesis of the corpus callosum), polydactyly, retinal degeneration (which can sometimes cause blindness), obesity and type II diabetes can also be seen.
  • Motile ciliopathies represent a group of rare genetic disorders that affect the structure and function of motile cilia. Primary ciliary dyskinesia is a rare genetic condition associated with dysfunction of the motile cilia of the respiratory system, sperm cells, fallopian tube and ear. It can cause chronic lung, sinus and ear infections, hearing loss, infertility and situs inversus (the mirror-image transposition of organs in the chest and abdomen), which can be seen in Kartagener Syndrome.

Disorders of sex development represent a group of congenital conditions associated with abnormal development of internal and external genitalia and reproductive organs due to genetic changes that affect the response to sex hormones and cause abnormalities in sex chromosomes and gonadal and anatomic sex development. These differences in sex development can affect human sex determination and/or differentiation and include sex chromosome abnormalities, 46,XX and 46,XY disorders, XX and XY sex reversal disorders and ovotesticular disorders. They can often be associated with ambiguity of the external genitalia, delayed or absent puberty or infertility. Complications with other organ systems, such as aortopathies, growth abnormalities, increased risk for autoimmune and metabolic disorders, decreased bone density, intellectual disability and neuropsychiatric conditions, can also be seen in certain conditions.

Advanced Screening, Diagnostics & Treatments

Our multidisciplinary team of world-renowned experts specializes in the prevention, early detection and treatment of congenital anomalies of the kidney and urinary tract, ciliopathies and differences in sex development. We offer comprehensive, personalized care focused on optimizing health and quality of life. Our newborn screening programs can help detect life-threatening conditions, such as acute adrenal insufficiency, for early intervention. We utilize the latest diagnostics, including cytogenetic testing, genome-wide association studies, massively parallel sequencing, advanced imaging (including 3D and 4D fetal ultrasonography and pelvic ultrasound, MRI and CT), serology and stimulation tests to facilitate precision medicine treatment plans. We offer genetic counseling and the full range of treatments, including hormone replacement therapy, mental health support and reconstructive surgery using open, minimally invasive and/or robotic techniques, when needed.

We’re ranked in the top 1% of all hospitals in the nation for urology and pediatric nephrology, according to U.S. News & World Report.

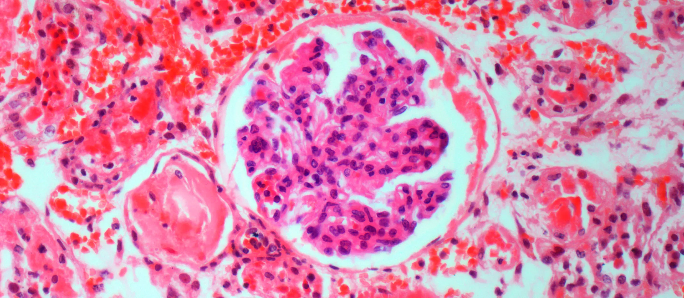
Light micrograph of kidney disease.

Learn More About Disorders Affecting Kidneys & Reproductive Organs

Receiving a diagnosis of a rare disorder affecting kidneys and reproductive organs, or being at risk for or suspected of having one, can feel overwhelming, but learning more about the diagnosis can help you navigate treatment and care. Visit the links below to learn more about some of the different types of rare disorders, their causes, and associated symptoms as well as screening and treatment options. This list includes a selection of rare disorders affecting kidneys and reproductive organs. Schedule a consultation with us for diagnosis and treatment options for these or any other rare conditions.

Congenital Anomalies of the Kidney & Urinary Tract (CAKUT)

Immotile Ciliopathies

Differences in Sex Development

Find Kidney & Reproductive Organ Disorders Programs and Centers Locations

We have more locations than ever to help you with the diagnosis and treatment of rare disorders affecting the kidneys and reproductive organs.

Location details: Polycystic Kidney Disease Center of Excellence

Location details: Cystinosis Research Network

Location details: Pediatric Medical Genetics Clinic

Location details: Inherited Metabolic Disorders Program

Contact us today for help finding a doctor or to refer a patient.

Image courtesy Positive Exposure in collaboration with Made a Masterpiece.